Estetica dentale a Brescia: ricostruzioni estetiche, faccette e corone per un sorriso su misura

???? Ricostruzioni estetiche dirette:
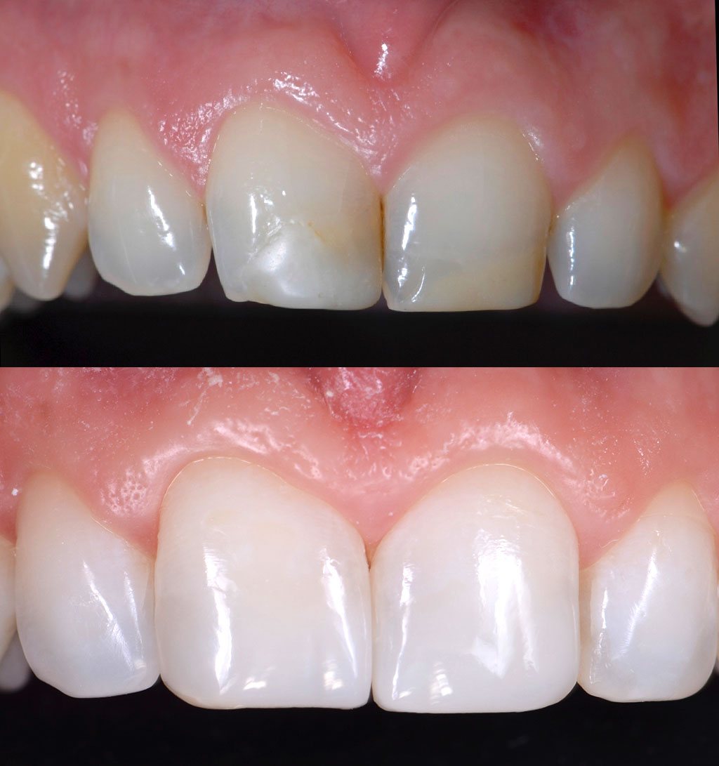
Le ricostruzioni in composito sono soluzioni rapide, minimamente invasive e altamente estetiche. Con tecniche moderne e materiali ad alta resa visiva, possiamo:
-
Correggere denti scheggiati, usurati o malformati;
-
Chiudere diastemi (spazi tra i denti);
-
Ridefinire forma, simmetria e proporzioni dentali.
Il tutto in una o poche sedute, direttamente alla poltrona. Il composito viene stratificato a mano, modellato con cura e lucidato fino a integrarsi perfettamente nel sorriso. È una soluzione ideale per chi desidera un miglioramento visibile, ma reversibile e poco invasivo.

???? Faccette dentali:
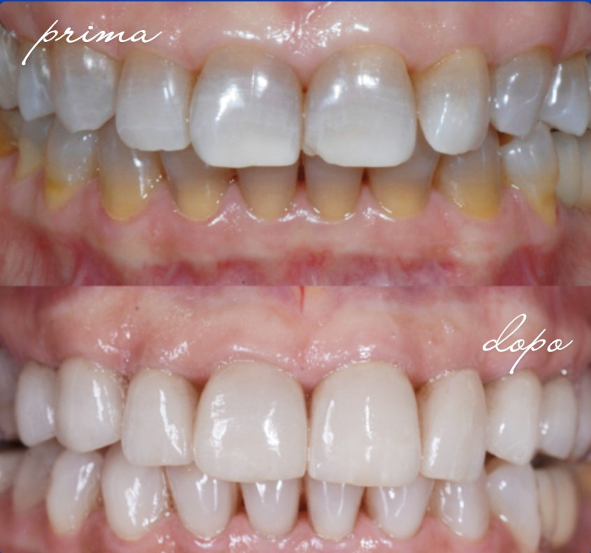
Per un risultato ancora più stabile nel tempo e ad altissimo impatto estetico, proponiamo le faccette dentali in ceramica. Sottili lamine applicate sulla superficie esterna dei denti anteriori, le faccette permettono di:
-
Correggere colore, forma e allineamento visivo;
-
Mascherare discromie resistenti allo sbiancamento;
-
Uniformare e illuminare il sorriso in modo naturale.
La progettazione è completamente personalizzata: partiamo da un’analisi estetica e funzionale del volto, valutiamo le proporzioni e realizziamo una simulazione (mock-up) per mostrare al Paziente il risultato prima ancora di iniziare.

???? Corone dentali estetiche:
Quando il dente è molto compromesso da carie estese, traumi o devitalizzazioni, la soluzione ideale può essere la corona dentale, un rivestimento completo del dente che ne ripristina forma, colore e funzione. Oggi le corone in ceramica integrale o zirconia offrono risultati estetici eccellenti e totalmente naturali, perfettamente integrati con il resto della dentatura.
Le corone vengono realizzate su misura a partire da una scansione digitale, senza impronte tradizionali. Grazie alla tecnologia CAD/CAM possiamo garantire precisione, resistenza e un’armonia estetica impeccabile.
Estetica, però, non significa solo bellezza. Significa anche armonia, funzione, benessere psicologico. Il nostro obiettivo è creare sorrisi che rispecchiano l’identità del Paziente, con rispetto e delicatezza.

Prenota la tua visita da noi: ricostruiamo insieme un sorriso che parli davvero di te.
Contatta lo studio dentistico